
Serviços Odontológicos
Oferecemos soluções de qualidade em odontologia para todos os nossos pacientes. Seguem abaixo alguns dos nossos serviços:
Coroa fixa sobre dente e restaurações estéticas
Devolução do formato ideal dos elementos dentários, devolvendo saúde, função, estética e conforto!




Tratamentos Estéticos
A plástica gengival tanto quanto os outros tratamentos estéticos quando bem indicados, devolve estética e conforto ao sorriso de pacientes com excesso de gengiva.
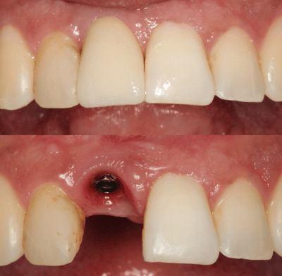
A melhor técnica reabilitadora para quem perde um dente sem dúvidas é o implante dentário, seguido da coroa dentária fixa sobre o mesmo. É tudo para quem precisa ter de volta a estética, função e conforto.
Coroa sobre implante


Restaurações funcionais e estéticas
Quando um dente está muito debilitado, nos últimos casos conseguimos cobrir ele com uma nova coroa e é dessa forma que consguimos salvar muitos dentes, claro que quando indicado ao caso.




Extração de sisos inclusos e impactados
Nem todos os sisos precisam ser extraídos, mas em sua grande maioria possuem essa indicação pela dificuldade de higienização, chances de prejudicar o dente vizinho, associação com lesões intra-ósseas, dentre outras indicações.
Instalação de implantes
Quando perdemos um dente, a melhor e mais confortável opção é fazer a instalação de um implante, um procedimento previsível, rápido e sem dor! Em média a instalação de um implante dura mal 15 minutos.



Cirurgia onde é feita a instalação de 4 a 6 implantes para posterior encaixe de uma prótese contendo todos os dentes de uma arcada em resina ou porcelana, a famosa prótese tipo protocolo.




Protocolo fase protética
Reabilitação de uma arcada inteira fixa em cima de 4 a 6 implantes, este tratamento é indicado a quem já perdeu ou irá perder todos os elementos dentários. Com ela conseguimos devolver função, estética e conforto.
Consultas emergenciais para pacientes com quadro agudo de dor, casos de acidentes levando ao comprometimento dentário e todos os outros possíveis casos nos quais os pacientes precisam de uma solução rápida e eficaz para o problema em questão.
Urgências e emergências
Protocolo cirúgico

Excelente profissional! A Dra. Eduarda é atenciosa e cuidadosa com os pacientes. O atendimento é de alta qualidade e ela explica cada etapa do procedimento com clareza. Recomendo fortemente!
Camila Pacheco


A Dra Maria Eduarda é uma excelente profissional, explicou tudo nos detalhes, tem mão leve e é muito calma no atendimento, passa muita segurança. Super indico!
Cristiane da Silva Pereira

